みなさんこんにちは。
東京都武蔵野市吉祥寺 京王井の頭線吉祥寺駅から徒歩3分の根管治療に強い吉祥寺の歯医者、吉祥寺おとなこども歯科・矯正歯科です。
今回は、「下顎小臼歯の根管治療を行った60代男性の症例」をご紹介します。
噛むと痛い・歯ぐきの腫れといった症状でお困りだった患者さまに、マイクロスコープを使用した精密根管治療を実施しました。
根管治療を検討されている方、特に吉祥寺エリアで専門性の高い治療をご希望の方にとって参考になる症例です。
症例の概要とこの記事でわかること
この症例では、CT診断やマイクロスコープ、ラバーダム防湿、MTA充填といった最新の技術を用いて、根管治療を成功に導きました。
この記事を読むことで、以下のことがわかります。
-
痛みや腫れの原因となる根管のトラブル
-
マイクロスコープを活用した精密な治療の流れ
-
治療前後の改善比較(X線画像あり)
-
治療にかかる費用・期間・副作用の可能性
患者さまの主訴と診断
主訴
60代男性の患者さまが来院された主訴は、
-
「噛むと痛い」
-
「歯ぐきが腫れることがある」
というものでした。
痛みや腫れは慢性的で、特に食事中の不快感が強く、日常生活に支障をきたすほどとのことでした。
診断と治療計画
CT診断およびマイクロスコープ下での検査の結果、
下顎小臼歯の根管内に感染が認められ、精密根管治療が必要と診断しました。
以下の治療計画を立てました。
-
マイクロスコープ下での感染除去と根管拡大
-
ラバーダム装着による無菌的処置
-
MTAセメントによる根管充填
-
補綴処置(被せ物)の準備
治療プロセス
ラバーダム装着とマイクロスコープ
感染源が唾液などにより再汚染されることを防ぐため、ラバーダム防湿を徹底。
その上で、マイクロスコープ(歯科用顕微鏡)を用い、肉眼では確認できない微細な根管内の状態を把握しました。
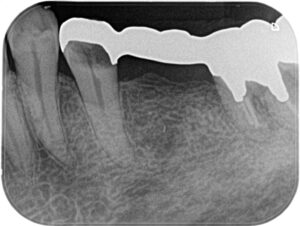
(画像:before_rc1.jpg 治療前の下顎小臼歯。歯ぐきの腫れが見られます)
根管拡大・洗浄
ニッケルチタンファイルという柔軟性と切削力に優れた器具を用いて、湾曲した根管を傷つけずに拡大。
その後、消毒用洗浄液で徹底的に洗浄し、感染源の除去を図りました。
この処置により、痛みや腫れの原因となっていた細菌の温床を根本から取り除きました。
MTA根充と補綴準備
根管内の消毒が完了した後は、MTAセメントで根管充填を行いました。
MTAは封鎖性と生体親和性に優れており、再感染リスクを大幅に低下させる素材です。
その後、補綴処置(被せ物)の準備を行い、噛み合わせ機能の回復を目指しました。
治療前後の比較
Before/After X線写真


痛みの改善と再発防止
治療後、患者さまからは「噛んでも痛みがなくなった」「歯ぐきの腫れが再発しなくなった」と喜びの声をいただきました。
再発を防ぐため、引き続きメンテナンスと定期検診をおすすめしています。
費用・期間・リスク
-
治療期間:2025年7月〜7月(全2回)
-
治療費用:99,000円(税込)
副作用・リスクについて:
-
術後に一時的な疼痛や腫脹が生じる場合があります
-
歯根破折のリスク(歯質が脆くなっている場合)
-
十分な封鎖が行われない場合、再感染する可能性があります
安全性を高めるため、当院ではマイクロスコープとCTによる事前診断を徹底しております。
同じ悩みをお持ちの方へメッセージ
「噛むと痛い」「歯ぐきが腫れる」といった症状は、根管の中の感染が原因となっている場合があります。
放置すると、抜歯が必要になるリスクもあるため、早期の受診・精密検査をおすすめします。
特に、過去に治療した歯の再発でお悩みの方は、マイクロスコープを用いた再根管治療で改善が期待できます。
当院では、保険外診療でも確かな技術と丁寧な説明で安心して治療を受けていただける環境を整えております。
まとめ
今回は、下顎小臼歯に対するマイクロスコープ精密根管治療の症例をご紹介しました。
吉祥寺おとなこども歯科・矯正歯科ではCT診断・ラバーダム・MTA根充を用いた再発しにくい根管治療を提供しております。
吉祥寺で根管治療をお考えの方は、ぜひ一度ご相談ください。
吉祥寺おとなこども歯科・矯正歯科では24時間WEB予約を行っております。
何か気になる点がございました方は以下からご予約ください。
👉 ご予約はこちら
監修者:医療法人社団名月会 理事長 山口 昌良