みなさんこんにちは。
東京都武蔵野市吉祥寺 京王井の頭線吉祥寺駅から徒歩3分、成人矯正に強い吉祥寺の歯医者、吉祥寺おとなこども歯科・矯正歯科です。
今回は、「歯並びのガタつきが気になる」とご相談いただいた50代女性のインビザライン矯正症例をご紹介します。年齢に関係なく、見た目と機能の両方を改善できるのがマウスピース矯正の魅力です。矯正を検討中の方はぜひ参考にしてください。
■患者様の基本情報
- 年齢・性別:50代女性
- 主訴:歯並びがガタガタしている
- 診断名:叢生(そうせい)
歯が重なり合っている状態を叢生と呼び、見た目だけでなく、歯磨きがしにくく虫歯や歯周病のリスクが高くなる点も問題です。
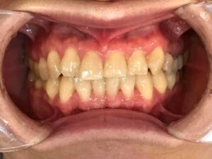
■治療前の状態

初診時、前歯を中心に歯の重なりが強く見られました。特に下顎前歯部はスペース不足によりねじれや段差が生じており、審美性だけでなく清掃性にも課題がある状態でした。
また、CT診断およびセファロ分析(ceph1.jpg)により、骨格的な大きなズレはなく、歯の移動で改善可能と判断しました。
■治療計画
本症例では、以下の点を重視して治療計画を立案しました。
- 抜歯をせずに歯列を整える
- 目立たない方法で矯正を行う
- 短期間での改善を目指す
その結果、マウスピース型矯正装置(インビザライン)を用いた治療を選択しました。
また、必要に応じてIPR(歯と歯の間をわずかに削る処置)を併用し、歯が並ぶスペースを確保しています。
■治療経過
治療期間は2024年5月から2024年11月までの約6か月です。
患者様には1日20時間以上の装着をお願いし、約1〜2週間ごとに新しいマウスピースへ交換していただきました。定期的なチェックを行いながら、計画通りに歯を移動させていきました。
50代の患者様でも、適切な診断と計画により、短期間でしっかりとした改善が得られることが分かる症例です。
■治療後の状態
(after1.jpg)
治療後は、前歯の重なりが解消され、自然で美しい歯並びになりました。歯列が整ったことで、見た目の印象が大きく改善されただけでなく、歯磨きもしやすくなっています。
患者様からも「もっと早くやればよかった」とご満足のお声をいただきました。
■費用・治療期間
- 治療期間:6か月(2024年5月〜2024年11月)
- 費用:550,000円(税込)
■インビザラインの特徴
インビザラインは、透明なマウスピース型の矯正装置で、以下のようなメリットがあります。
- 目立ちにくい
- 取り外しが可能で衛生的
- 痛みが比較的少ない
- 金属アレルギーの心配がない
従来の審美ブラケットと比較しても、日常生活への影響が少ない点が大きな特徴です。
■リスク・副作用について
矯正治療には以下のリスク・副作用が伴う可能性があります。
- 歯根吸収
- 虫歯・歯周病のリスク増加
- 歯肉退縮
- 治療後の後戻り
これらを防ぐためには、適切なセルフケアと定期的な通院が重要です。
■まとめ
今回の症例では、50代の患者様でも短期間で歯並びの改善が可能であることが示されました。
「年齢的にもう遅いのでは?」と悩まれている方も多いですが、成人矯正は何歳からでもスタートできます。特に叢生矯正は、見た目だけでなく健康面の改善にもつながります。
当院では、CT診断を含めた精密検査を行い、一人ひとりに合った治療計画をご提案しております。
■ご相談・ご予約はこちら
矯正治療をご検討中の方は、お気軽にご相談ください。
▶ https://icontact-4.dapo.jp/docoapo/webform.php?id=39399
監修:山口 昌良