みなさんこんにちは。
東京都武蔵野市吉祥寺 京王井の頭線吉祥寺駅から徒歩3分の根管治療に強い吉祥寺の歯医者、吉祥寺おとなこども歯科・矯正歯科です。
症例の概要とこの記事でわかること
この記事では、「噛むと痛い」症状で来院された50代女性の上顎小臼歯に対する根管治療の症例をご紹介します。
当院では、マイクロスコープ・ラバーダム・ニッケルチタンファイル・CT診断・MTA充填といった精密機器と最新材料を活用した根管治療を行っています。
本記事を読むことで次のことがわかります。
-
痛みの原因となる根管内の感染とは何か
-
マイクロスコープを用いた精密根管治療の流れ
-
MTA根充による再発リスク低減の理由
-
Before/After のX線写真での変化
-
費用や治療期間の目安
根管治療を検討中の方にとって、治療イメージが掴みやすい内容となっています。
患者さまの主訴と診断
主訴
患者さまは**「噛むと痛い」**という症状を訴えてご来院されました。
特に硬いものを噛む際にズキッとした痛みが出るとのことで、日常生活に支障が出ている状態でした。
診断と治療計画
診査・診断として、まず視診・触診・冷温診、そしてCT診断を実施しました。
CT画像から、上顎小臼歯の根管内に感染が残存し、根尖部(歯の根の先)に軽度の炎症が疑われる状態でした。
そこで以下の治療計画を立てました。
-
マイクロスコープ下での根管拡大・感染除去
-
ニッケルチタンファイルを用いた効率的な形成
-
高い封鎖性を誇る MTA による根管充填
-
その後の土台・補綴処置準備
治療は2024年11月、全2回で完了する計画としました。
治療プロセス
ラバーダム装着とマイクロスコープ
治療に入る前に、細菌の侵入を防ぐためのラバーダム防湿を必ず行います。
これは根管治療の成功率を左右する重要なステップです。
次に、マイクロスコープ(歯科用顕微鏡)を用いて根管内部を拡大し、肉眼では確認できない細かな感染歯質や分岐根管を丁寧に確認します。
(画像:before_rc1.jpg 治療前の処置歯の状態)
根管拡大・洗浄
根管内部の細菌や古い充填材を除去し、形を整えるためにニッケルチタンファイルを使用します。
しなやかで折れにくく、複雑な根管の清掃に適した器具です。
根管形成後は、次の目的で薬液洗浄を行います。
-
感染源の徹底除去
-
根管壁のバイオフィルム破壊
-
薬剤が根の先まで届くよう超音波活用
精密な洗浄により、再感染を抑える環境を整えました。
MTA根充と補綴準備
感染を除去したあとは、根管内をしっかり封鎖するためにMTAセメントで根管充填を行いました。
MTAは「微小漏洩が少ない」「生体親和性が高い」材料で、再発リスクの低減に大きく貢献します。
(画像:after_rc1.jpg 治療完了時の歯の状態)
根管治療終了後は、後日クラウン(被せ物)作成のための補綴準備へ移行します。
治療前後の比較
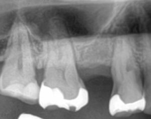
Before/After X線写真
治療前後のX線画像をご紹介します。


(画像:xray_rc1.jpg Before/After X線写真比較)
治療前には根尖周囲に淡い透過像(炎症の兆候)が見られましたが、
治療後は根管が適切に封鎖され、再感染のリスクが大きく軽減された状態が確認できます。
痛みの改善と再発防止
治療後、患者さまは噛んだときの痛みが消失し、「しっかり噛めるようになった」と喜ばれていました。
マイクロスコープによる精密治療とMTA充填により、再発しづらい根管環境が構築されています。
費用・期間・リスク
本症例の情報をまとめると次のとおりです。
-
治療期間: 2024年11月/全2回
-
費用: 99,000円(税込)
-
実施内容: マイクロスコープ根管治療+ニッケルチタンファイル+MTA根充
副作用・リスク(一般的なもの)
-
術後の一時的な痛み
-
腫脹(はれ)
-
根管内の形態によって治療回数が増える可能性
-
歯根破折のリスク
-
再感染の可能性
同じ悩みをお持ちの方へメッセージ
「噛むと痛い」「違和感が続く」などの症状は、根管内部で細菌感染が起きているサインかもしれません。
放置すると炎症が広がり、最悪の場合は抜歯につながることもあります。
当院では、CT診断・ラバーダム・マイクロスコープ・MTA根充といった世界基準の根管治療を吉祥寺で提供しています。
「できる限り歯を残したい」と思われる方は、ぜひ一度ご相談ください。
まとめ
上顎小臼歯の根管感染に対して、マイクロスコープを用いた精密根管治療・MTA根充を行うことで、痛みは改善し、再発リスクも低減する結果となりました。
根管治療は見えない部分の治療だからこそ、設備と技術が重要です。
吉祥寺おとなこども歯科・矯正歯科では24時間WEB予約を行っております。
何か気になる点がございました方は以下からご予約ください。
https://icontact-4.dapo.jp/docoapo/webform.php?id=39399
監修者:医療法人社団名月会 理事長 山口 昌良