みなさんこんにちは。
東京都武蔵野市吉祥寺 京王井の頭線吉祥寺駅から徒歩3分、成人矯正に強い吉祥寺の歯医者、吉祥寺おとなこども歯科・矯正歯科です。
今回は、「前歯の出っ張り(上顎前突)」にお悩みだった20代女性の患者さまに対し、インビザライン(ライトプラン)を用いて7ヶ月で治療を完了した症例をご紹介します。
「出っ歯が気になる」「マスクを外すのが恥ずかしい」「できれば目立たずに治したい」
そんなお悩みをお持ちの方にとって、短期間で見た目も機能も改善できたこの症例は、参考になるはずです。
患者さまのご相談内容(主訴)
患者さまは20代女性。
初診時のご相談は、「前歯が出ているのがずっと気になっていた」というものでした。
特にマスクを外す機会が増えた最近、「笑った時に歯が目立ってしまう」「横顔の口元が気になる」といった審美的なお悩みが強く、目立たない矯正方法をご希望されていました。
診断と治療方針
診断名:上顎前突
精密検査(口腔内写真・パノラマレントゲン・セファロ分析(ceph1.jpg)・CT診断など)を行った結果、**上顎の前歯が前方に傾斜して突出している状態(上顎前突)**と診断しました。
ただし骨格的なズレは大きくなく、軽度〜中等度の前歯の突出にとどまっていたため、抜歯をせずに歯列全体を後方にコントロールする非抜歯矯正が可能と判断しました。
治療方法:インビザライン(ライトプラン)
患者さまの希望もあり、目立たずに矯正可能な「インビザライン ライト」を選択。
インビザライン ライトは、比較的軽度の症例に適したマウスピース矯正プランで、治療期間やコストを抑えながら治療できる点が特徴です。
治療の流れ:
-
2024年2月:治療開始
-
毎日20時間以上のマウスピース装着を継続
-
約10日ごとに新しいマウスピースへ交換
-
計14ステージ(追加アライナーなし)
-
2024年7月:治療完了(治療期間7ヶ月)
治療前後の比較(ビフォーアフター)
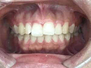
治療前の状態(Before)【画像:before1.jpg】

-
上顎前歯が前方へ突出
-
横顔で見た時の口元の膨らみ
-
上下の歯列のバランスの乱れ
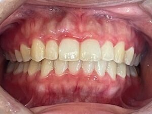
治療後の状態(After)【画像:after1.jpg】

-
上顎前歯が内側に下がり、自然で美しい横顔に
-
前歯の重なりも解消され、歯並び全体が整う
-
笑顔の印象が明るく、清潔感のある口元に改善
患者さまからは「たった数ヶ月でここまで変われるなんて思っていなかった」「マスクを外して笑えるようになった」と喜びの声をいただきました。
治療費用と注意点
-
治療費用:55万円(税込)
※インビザライン ライトプラン(追加アライナーなし)
【副作用・リスク】
-
歯根吸収の可能性
-
虫歯や歯周病のリスク(セルフケアが重要)
-
歯肉退縮(歯ぐきが下がる)
-
後戻りのリスク(保定装置=リテーナーの使用が必要)
当院では、治療開始前にリスク説明と同意取得を徹底しています。
担当医紹介
この症例を担当したのは、矯正歯科医の山口 昌良 先生。
矯正治療に豊富な経験を持ち、インビザライン症例も多数手がけています。
患者さま一人ひとりのライフスタイルや審美的ニーズに合わせた「無理のない矯正プラン」を提案しているのが特徴です。
まとめ|目立たず、短期間で口元の印象を変える
この症例では、目立たない矯正方法(インビザライン)を用い、7ヶ月という短期間で上顎前突を改善することができました。
「仕事柄、ワイヤーは避けたい」
「できるだけ費用は抑えたい」
「出っ歯だけをピンポイントで治したい」
そんな方にとって、インビザラインライトは非常に有効な選択肢となります。
前歯の出っ張りでお悩みの方へ
もしあなたが「前歯の出っ張り」や「横顔のバランス」でお悩みであれば、まずは一度、無料カウンセリングにお越しください。
CTやセファロ分析を用いて、あなたに合った治療プランを丁寧にご提案します。
✅ 無料カウンセリング予約はこちらから
👉 ご予約フォームはこちら
クリニック情報
吉祥寺おとなこども歯科・矯正歯科
東京都武蔵野市吉祥寺本町
京王井の頭線 吉祥寺駅から徒歩3分
診療科目:矯正・インプラント・小児歯科
その他の矯正症例もぜひご覧ください!
-
[インビザライン矯正|30代女性|抜歯ありの上顎前突症例]
-
[成人矯正|20代男性|ガタガタの前歯を半年で改善]
最後までお読みいただきありがとうございました。
矯正治療は、あなたの「未来の笑顔」をつくる第一歩です。
お気軽にご相談ください!