みなさんこんにちは。
東京都武蔵野市吉祥寺 京王井の頭線吉祥寺駅から徒歩3分の根管治療に強い吉祥寺の歯医者、吉祥寺おとなこども歯科・矯正歯科です。
今回は、「噛むと痛い」「歯ぐきが腫れる」と訴えて来院された50代女性の小臼歯の根管治療(精密根管治療)症例をご紹介します。
「吉祥寺で根管治療の症例を探している」「マイクロスコープやMTAを使った治療を知りたい」という方の参考になれば幸いです。
症例の概要とこの記事でわかること
この記事では、
-
小臼歯の根管治療の流れ
-
マイクロスコープ・ラバーダムなどの精密機器の役割
-
MTA充填による再発防止のポイント
をわかりやすく解説します。
(画像: before_rc1.jpg 治療前の患歯の様子。歯ぐきが腫れ、噛むと痛みが出ていました。)
患者さまの主訴と診断
主訴
50代女性。
「数週間前から右下の奥のほうが噛むと痛い」「歯ぐきが腫れてきた」との訴えで来院されました。
市販の鎮痛薬で一時的に痛みは治まるものの、再び腫れが出てきたとのことでした。
診断と治療計画
精密検査とCT診断の結果、右下第1小臼歯の根尖部(歯の根の先)に炎症が確認されました。
過去に神経を取った歯でしたが、根管の中に細菌が再侵入していたため、再根管治療が必要と判断しました。
治療計画は以下の通りです。
-
ラバーダム防湿下で感染防止
-
マイクロスコープを使用した根管内の精密清掃・拡大
-
MTAセメントによる根充(根の封鎖)
-
根管治療後、補綴(被せ物)による歯の保護
治療プロセス
ラバーダム装着とマイクロスコープ
治療中に唾液中の細菌が入り込まないよう、まずラバーダム防湿を行いました。
そのうえで**マイクロスコープ(歯科用顕微鏡)**を使用し、肉眼では見えない細い根管や分岐部を確認しながら処置を進めました。
マイクロスコープを用いることで、感染源の取り残しを最小限に抑え、再発のリスクを低減できます。
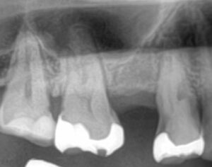
(画像: xray_rc1.jpg 治療中のX線画像。根管の形態を確認しながら慎重に処置を行いました。)
根管拡大・洗浄
専用のニッケルチタンファイルを用いて、根管の形態を整えながら感染歯質を除去しました。
その後、次亜塩素酸ナトリウム溶液とEDTA溶液で根管内を徹底的に洗浄し、細菌やデブリを除去しました。
MTA根充と補綴準備
根管内を乾燥させた後、MTAセメントを用いて根管を密封(根充)しました。
MTAは高い封鎖性と生体親和性を持ち、炎症の再発防止に優れています。
根充後は仮封を行い、2回目の来院時に最終的な補綴物(被せ物)の準備を行いました。
(画像: after_rc1.jpg 治療完了後の患歯。痛みや腫れは完全に消失しました。)
治療前後の比較
Before/After X線写真


治療前は根尖部に透過像(黒い影)が見られ、炎症が進行していました。
治療後は根尖の封鎖が確認でき、炎症の範囲が縮小しています。
X線比較により、根管内が適切に処置されていることを確認しました。
痛みの改善と再発防止
治療後1週間で「噛んでも痛くない」との感想をいただきました。
歯ぐきの腫れもおさまり、生活に支障がない状態へ回復しました。
定期的なメンテナンスと咬合チェックにより、再感染の防止を図っています。
費用・期間・リスク
-
治療期間:2024年11月(2回通院)
-
治療費:99,000円(税込)
副作用・リスク:
-
術後の一時的な疼痛や腫脹
-
歯根破折の可能性
-
根尖部に膿が残る場合、再治療が必要となることがあります
-
補綴物の破損や二次感染のリスク
同じ悩みをお持ちの方へメッセージ
「噛むと痛い」「歯ぐきが腫れる」などの症状は、歯の内部の感染が進行しているサインかもしれません。
放置すると抜歯につながることもあるため、早めの受診が大切です。
当院では、マイクロスコープ・ラバーダム・CT診断・MTA充填といった精密機器を駆使し、再発の少ない根管治療を行っています。
吉祥寺エリアで根管治療を検討されている方は、ぜひ一度ご相談ください。
まとめ
小臼歯の精密根管治療により、痛みや腫れの原因を根本から除去し、健康な状態を取り戻すことができました。
早期の診断と精密な処置が、歯を長く守る鍵となります。
吉祥寺おとなこども歯科・矯正歯科では24時間WEB予約を行っております。
何か気になる点がございました方は以下からご予約ください。
👉 ご予約はこちら
監修者:医療法人社団名月会 理事長 山口 昌良