みなさんこんにちは。
東京都武蔵野市吉祥寺 京王井の頭線吉祥寺駅から徒歩3分、成人矯正に強い吉祥寺の歯医者、吉祥寺おとなこども歯科・矯正歯科です。
今回は、「昔から歯のガタガタが気になっていた」という50代女性の症例をご紹介いたします。
マウスピース型矯正装置「インビザライン」を使用し、上下顎の叢生(歯の重なり)を約15か月で改善したケースです。
歯並びの悩みは、見た目だけでなく、口腔内の健康やセルフケアのしやすさにも大きく関係しています。
「この年齢からでも矯正できるのかな?」と迷っている方にも、参考にしていただける内容です。
■ 患者さまの基本情報とお悩み
-
年齢・性別:50代・女性
-
主訴(お悩み):前歯のガタガタ、歯磨きのしづらさが気になる
-
診断名:上下顎叢生(そうせい)
-
治療内容:マウスピース矯正(インビザライン)
-
治療期間:2023年5月~2024年8月(15か月)
-
治療費用:1,078,000円(税込)
-
副作用・リスク:治療後にリテーナーを使用しないと後戻りの可能性があります。
-
担当医・監修医:山口 昌良
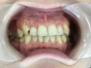
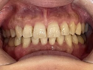
■ Before & After(治療前後の比較)
▼治療前(Before)

上顎・下顎ともに歯が重なり合っており、特に上の前歯には強い叢生が確認できます。
歯ブラシが届きにくく、清掃性も低下していました。
▼治療後(After)

約15か月の矯正で歯列はきれいに整い、ガタガタが解消されました。
見た目の印象が大きく変化し、患者さまも大変満足されていました。
■ 治療内容と進行の流れ
この患者さまは、歯を抜かずに歯列を整える「非抜歯矯正」を選択しました。
アーチの拡大や歯のわずかな移動スペースの確保を行い、段階的にアライナーを進めました。
✅ 治療のステップ
-
初診・精密検査(2023年4月)
- 写真・レントゲン撮影、iTeroスキャンによる歯型採取
- 3Dシミュレーション(クリンチェック)をもとに治療計画を立案 -
アライナー治療スタート(2023年5月)
- 約10日ごとのアライナー交換
- 毎月のチェックで進捗確認と微調整を実施 -
中間チェック・アタッチメント調整(2023年11月)
- 特定の歯の移動を強化するためアタッチメントの再配置 -
仕上げ段階(2024年6月)
- 最終的な咬合・歯列の微調整 -
治療終了・保定開始(2024年8月予定)
- 保定装置(リテーナー)を装着し、後戻りを防止
■ インビザラインが選ばれた理由
患者さまは「目立つ矯正装置には抵抗がある」「仕事中にも気づかれたくない」というご要望がありました。
そのため、透明で取り外し可能なインビザラインが最適と判断しました。
インビザラインのメリット
-
✅ 目立たないので日常生活で気づかれにくい
-
✅ 自由に取り外し可能で衛生的
-
✅ 痛みが少なく快適
-
✅ 治療開始前に3Dシミュレーションでゴールを可視化できる
■ 患者さまの感想
治療後、患者さまからは次のようなお声をいただきました。
「若い頃から前歯のデコボコがコンプレックスでしたが、やっと思いきって始めて本当によかったです。マウスピースは目立たず、使いやすくて助かりました。歯並びがきれいになると、自然に笑えるようになりますね。」
■ 担当医からのコメント(山口 昌良)
「50代での矯正治療を迷われる方は多いですが、歯と歯茎の健康状態が良好であれば、年齢に関係なく始められます。
今回の患者さまも、継続的にマウスピースをしっかり使っていただき、非常にスムーズに治療が進みました。
整った歯並びは見た目だけでなく、将来の虫歯・歯周病リスクも大きく下げてくれます。ぜひ多くの方に、矯正治療の選択肢を知っていただきたいです。」
■ 吉祥寺でマウスピース矯正をご検討中の方へ
当院では、インビザラインをはじめとした大人の矯正治療を多数行っております。
20代〜60代まで幅広い年代の方が通院されており、無料カウンセリングで不安や疑問にも丁寧にお応えしています。
📍吉祥寺おとなこども歯科・矯正歯科
矯正・インプラント・小児歯科に対応
京王井の頭線 吉祥寺駅から徒歩3分
🦷 矯正無料相談はこちらから
👉 https://icontact-4.dapo.jp/docoapo/webform.php?id=39399